Skip to main content
الرئيسية
الاشتراك
  • Relevance
  • Title
  • Date
English
الأخبار الرئيسية

Arabic Nain navigation

  • الرئيسية
  • أخبار
  • أعمال
  • ترفيه
  • رياضة
  • صحتك وجمالك
  • سياحة
English
الاشتراك
الأخبار الرئيسية

الأحدث الأخبار الرئيسية

رئة الفشار: الأسباب، الأعراض، طرق العلاج
16 نوفمبر 2025 - 12:43 GMT
نادين طاهر

نادين طاهر

رئة الفشار: الأسباب، الأعراض، طرق العلاج

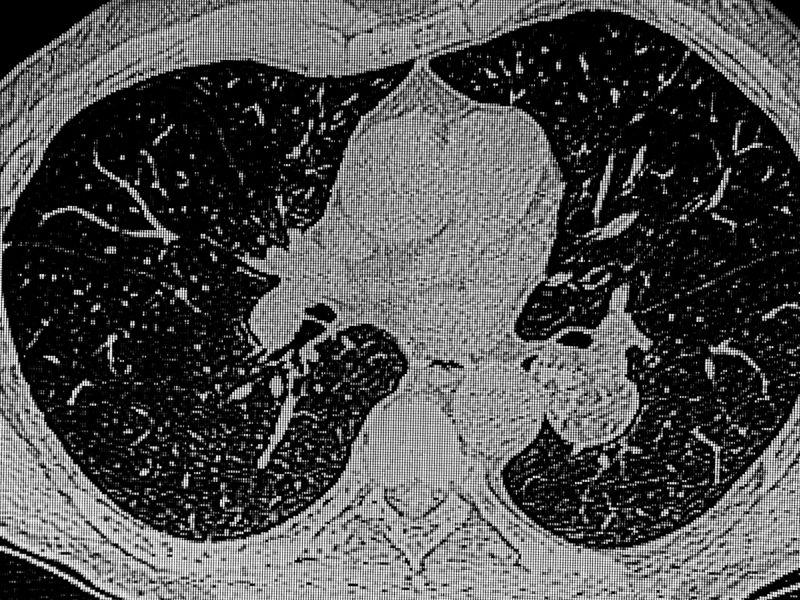
رئة الفشار Popcorn Lung أو ما يسمى التهاب القصيبات المسدودة، يعتبر نوع غير شائع ونادر جدًا من أمراض الرئة، ويصيب أصغر مجاري الهواء في الرئتين نتيجة استنشاق مواد سامة أو عدوى. الأشخاص أكثر عرضة للإصابة بمرض رئة الفشار هم الذين يستخدمون السجائر الإلكترونية بشكل مفرط، إذ تحتوي سوائل السجائر الإلكترونية على مادة الدياستيل المسببة لرئة الفشار، ويحتاج مريض رئة الفشار لرعاية مدى الحياة ويجب تجنب التلوث تماماً، مما تسبب لمرض ...
اقرأ المزيد
10 نصائح للتخلص من وزن الماء الآن
08 نوفمبر 2020 - 04:40 GMT

10 نصائح للتخلص من وزن الماء الآن

اصنعيه بنفسك: قناع الصبار للبشرة المتوهجة
08 نوفمبر 2020 - 04:40 GMT

اصنعيه بنفسك: قناع الصبار للبشرة المتوهجة

ما تفسير الحلم بوفاة شخص عزيز في المنام؟
08 نوفمبر 2020 - 04:15 GMT

ما تفسير الحلم بوفاة شخص عزيز في المنام؟

توقعات الابراج
07 نوفمبر 2020 - 11:00 GMT

حظك اليوم مع الأبراج الأحد 8 تشرين الثاني/ نوفمبر 2020

الطقس الحار أو البارد: من له تأثير أكبر على انتشار كوفيد-19
07 نوفمبر 2020 - 04:55 GMT

الطقس الحار أو البارد: من له تأثير أكبر على انتشار كوفيد-19؟

جميلة البوابة: أسرار استخدام قشور التفاح لبشرة نقية
07 نوفمبر 2020 - 04:40 GMT

جميلة البوابة: أسرار استخدام قشور التفاح لبشرة نقية

3 مكونات لتقليل مستويات الكوليسترول في الدم وانسداد الشرايين
07 نوفمبر 2020 - 04:30 GMT

3 مكونات لتقليل مستويات الكوليسترول في الدم وانسداد الشرايين

ما تفسير محاولة اللحاق بالقطار في المنام؟
07 نوفمبر 2020 - 04:15 GMT

ما تفسير محاولة اللحاق بالقطار في المنام؟

سلطة الخيار والفاصوليا السوداء
07 نوفمبر 2020 - 04:00 GMT

سلطة الخيار والفاصوليا السوداء

توقعات الابراج
06 نوفمبر 2020 - 11:00 GMT

حظك اليوم مع الأبراج السبت 7 تشرين الثاني/ نوفمبر 2020

توقعات الأبراج
05 نوفمبر 2020 - 11:00 GMT

حظك اليوم مع الأبراج الجمعة 6 تشرين الثاني/ نوفمبر 2020

دراسة: سبعة أشكال مختلفة من أعراض كوفيد-19 المعتدل
05 نوفمبر 2020 - 04:55 GMT

دراسة: سبعة أشكال مختلفة من أعراض كوفيد-19 المعتدل

Pagination

  • First page «
  • Previous page ‹
  • …
  • الصفحة 1378
  • الصفحة 1379
  • الصفحة 1380
  • الصفحة 1381
  • Current page 1382
  • الصفحة 1383
  • الصفحة 1384
  • الصفحة 1385
  • الصفحة 1386
  • …
  • الصفحة التالية ›
  • Last page »
Al Bawaba News

Arabic Footer Menu

  • عن البوابة
  • أعلن معنا
  • اشترك معنا
  • حل مشكلة فنية
  • الشكاوى والتصحيحات
  • تواصل معنا
  • شروط الاستخدام
  • تلقيمات (RSS)

Social media links

  • FB
  • Linkedin
  • Twitter
  • YouTube

اشترك في النشرة الإخبارية لدينا للحصول على تحديثات حصرية والمحتوى المحسن

اشترك الآن

DMCA.com Protection Status

© 2000 - 2025 البوابة (www.albawaba.com)