Skip to main content
الرئيسية
الاشتراك
  • Relevance
  • Title
  • Date
English
أخبار دوليه

Arabic Nain navigation

  • الرئيسية
  • أخبار
  • أعمال
  • ترفيه
  • رياضة
  • صحتك وجمالك
  • سياحة
English
الاشتراك
أخبار دوليه

الأحدث أخبار دوليه

بي بي سي
15 نوفمبر 2025 - 12:31 GMT
عمر الزاغ

عمر الزاغ

ترامب يعتزم مقاضاة بي بي سي بـ5 مليارات

يعتزم الرئيس الأميركي دونالد ترامب رفع دعوى قضائية ضد هيئة الإذاعة البريطانية "بي بي سي" ويطالبها بتعويض بين مليار وخمسة مليارات دولار
اقرأ المزيد
تبون:  الاحتلال الصهيوني الذي يضرب عرض الحائط القوانين الدولية”
05 أكتوبر 2023 - 09:02 GMT

تبون: بريكس اصبحت خارج اهتمامات الجزائر

جيسيلي لويزي بيك (19 عاما)
05 أكتوبر 2023 - 07:10 GMT

انتحار مجندة بسبب التحرش المتكرر من قائدها

 المغنية الكندية غرايمز
05 أكتوبر 2023 - 06:40 GMT

ايلون ماسك يحرم طليقته من رؤية اطفالهما

عشرات القتلى في قصف روسي طال متجرا للمواد الغذائية شرقي اوكرانيا
05 أكتوبر 2023 - 01:28 GMT

عشرات القتلى في قصف روسي طال متجرا للمواد الغذائية شرقي اوكرانيا

كييف تقر بفقدان 26 الف اوكراني منذ بدء الحرب اكثر من نصفهم عسكريون
05 أكتوبر 2023 - 12:27 GMT

كييف تقر بفقدان 26 الف اوكراني منذ بدء الحرب اكثر من نصفهم عسكريون

قبعة نابليون السوداء الشهيرة في مزاد علني في باريس
05 أكتوبر 2023 - 11:17 GMT

قبعة نابليون السوداء الشهيرة في مزاد علني في باريس

وزير الدفاع الروسي، سيرغي شويغو
05 أكتوبر 2023 - 10:31 GMT

وزير الدفاع الروسي: 9 أفواج احتياطية جاهزة.. وتجنيد 38 ألف متطوع

عناصر من القوات النيجيرية أمام السفارة الفرنسية
05 أكتوبر 2023 - 10:18 GMT

فرنسا: بدء سحب قواتنا من النيجر هذا الأسبوع

اذربيجان تلقي القبض على رئيس ناغورني قره باغ السابق
05 أكتوبر 2023 - 09:14 GMT

اذربيجان تلقي القبض على رئيس ناغورني قره باغ السابق

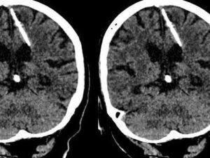
اكتشاف إبرة طولها 3 سم موجودة في دماغ امرأة روسية منذ 80 عاماً
05 أكتوبر 2023 - 08:25 GMT

اكتشاف إبرة طولها 3 سم موجودة في دماغ امرأة روسية منذ 80 عاماً

عناصر من الشرطة الأمريكية
05 أكتوبر 2023 - 07:42 GMT

شاهد.. سرقة سيارة تنتهي بمصرع السائق ونجاة طفل

استمرار الهجمات الروسية على الأراضي الأوكرانية باستخدام الطائرات المسيرة
05 أكتوبر 2023 - 06:41 GMT

الدفاعات الجوية الأوكرانية تسقط عشرات الطائرات المسيرة

Pagination

  • First page «
  • Previous page ‹
  • …
  • الصفحة 507
  • الصفحة 508
  • الصفحة 509
  • الصفحة 510
  • Current page 511
  • الصفحة 512
  • الصفحة 513
  • الصفحة 514
  • الصفحة 515
  • …
  • الصفحة التالية ›
  • Last page »
Al Bawaba News

Arabic Footer Menu

  • عن البوابة
  • أعلن معنا
  • اشترك معنا
  • حل مشكلة فنية
  • الشكاوى والتصحيحات
  • تواصل معنا
  • شروط الاستخدام
  • تلقيمات (RSS)

Social media links

  • FB
  • Linkedin
  • Twitter
  • YouTube

اشترك في النشرة الإخبارية لدينا للحصول على تحديثات حصرية والمحتوى المحسن

اشترك الآن

DMCA.com Protection Status

© 2000 - 2025 البوابة (www.albawaba.com)