X-ray images and CT scans including those of a Chinese man, 44, who died from coronavirus show how the disease ravages its victims' lungs.
The scans show white patches in the lower corners of the lungs which indicates what radiologists call ground glass opacity - the partial filling of air spaces.
Such abnormalities identified by doctors in the scans of coronavirus patients are similar to those found in patients suffering from SARS and MERS.
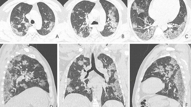
The shocking chest X-ray of one coronavirus victim, a 44-year-old man who worked at the Wuhan seafood market thought to be the origin of the outbreak, clearly show the ground glass opacity abnormality.
The scans, released by the Radiological Society of North America, show how the fluid in the spaces of the man's lungs became more pronounced over time, as evident when comparing image A to image F.
The man was admitted to hospital on December 25, 2019 after suffering from a fever and cough for almost two weeks. Doctors diagnosed the man with pneumonia and acute respiratory distress syndrome.
Despite being treated by doctors, he died a week later.
The CT scans of a 54-year-old woman who caught the coronavirus after travelling to Wuhan, China, show the same partial filling of air spaces.
The woman was diagnosed with severe pneumonia caused by the virus after suffering from a fever, cough, fatigue and chest congestion for a week, and she was given oxygen and antibiotics.
The scan of a 45-year-old woman from Sichuan Province in China who tested positive for COVID-19 after returning from Japan shows white patches and a 'reversed halo sign' in the left upper lobe of her lung.
The extended white patches seen in the scans were also identified with severe acute respiratory syndrome (SARS) and Middle East respiratory syndrome (MERS).
Both are also classified as coronaviruses and SARS resulted in 8,000 cases and 774 deaths in China from November 2002 to July 2003.
The most common way to identify coronavirus is to take swabs of saliva or mucus from a patient's nose or mouth or alternatively testing phlegm they produce.
Yet the test is only effective when the patient is showing symptoms.
The World Health Organization has today officially declared the COVID-19 outbreak a pandemic after the number of patients struck down by the life-threatening infection across the world surpassed 112,000 and the death toll neared 4,500.
The death toll from the outbreak in Italy has jumped in the last 24 hours by 196 to 827.
The total number of cases in Italy, the European country hardest hit by the virus, rose to 12,462 from a previous 10,149, an increase of 22.8 per cent.
Eight Britons have so far died from the virus. The number of confirmed coronavirus cases in the UK reached 460 on Wednesday, including a minister in the health department.
Prime Minister Boris Johnson has warned tougher measures to contain the spread of the virus were likely in the coming weeks.
This article has been adapted from its original source.
