اكتشاف إبرة طولها 3 سم موجودة في دماغ امرأة روسية منذ 80 عاماً

تاريخ النشر: 05 أكتوبر 2023 - 08:25 GMT
اكتشاف إبرة طولها 3 سم موجودة في دماغ امرأة روسية منذ 80 عاماً

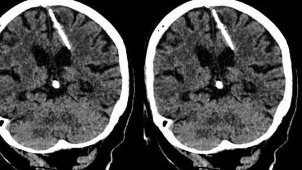
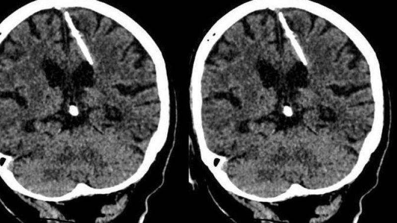
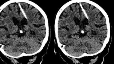
اكتشف اطباء روس بالصدفة ابرة طولها ثلاثة سنتمترات موجودة منذ ثمانين عاما داخل دماغ امرأة مسنة اثناء قيامهم باجراء فحص لها بالتصوير المقطعي.

ويبدو ان المرأة التي تعيش في منطقة سخالين النائية في اقصى الشرق الروسي، كانت ضحية محاولة قتل فاشلة على يد والديها بعيد ولادتها، كما يعتقد الاطباء.

وقالت إدارة الصحة في منطقة سخالين ان حالات قتل الاطفال كانت شائعة خلال سنوات المجاعة التي ضربت البلاد ابان الحرب العالمية الثانية.

وأضافت أن الفحوص اظهرت ان المراة تعيش مع الابرة البالغ طولها ثلاثة سنتمترات داخل دماغها "منذ ولادتها" ما يؤكد ان والديها كانا قررا التخلص منها، لكن محاولتهما لم تفلح.

وطريقة القتل عبر غرس الابرة في الدماغ كانت مفضلة في قتل الاطفال بسبب صعوبة اكتشاف الدليل على الجريمة.

 

 

وعانى السكان في انحاء الاتحاد السوفييتي نقصا حادا في الغذاء خلال الحرب، واستمروا يعيشون في فقر مدقع بعدها.

وقرر الاطباء عدم استخراج الابرة تفاديا لتعريض المراة الى مضاعفات، بحسب ادارة الصحة المحلية.

واوضحت الادارة ان الفحص اظهر ان الابرة اخترقت الفص الجداري الأيسر لدماغ المراة، لكنها كتبت لها النجاة حيث لم يتسبب ذلك في وفاتها كما كان يأمل والداها.

واضافت ان المراة حاليا تحت مراقبة طبيبها المعالج، مشيرة الى انها لم تكن تواجه اي خطر بسبب الابرة، كما انها لم تشك قط من اي صداع.